Get In Touch:
+961 3 541 223
info@ziadnoun.com
Request an appointment
  • Home
    الصفحة الرئيسية
  • About us
    من نحن
    • Biography
    • Publications
    • Oral Communications
    • Continuous Medical Educations
  • Shoulder
    كتف
  • Knee
    ركبة
  • Foot
    قدم
  • Spine
    العمود الفقري
  • Hip
    خاصرة
  • Gallery
    معرض الصور
  • Contact Us
    اتصل بنا
  • Request an appointment
    خاصرة

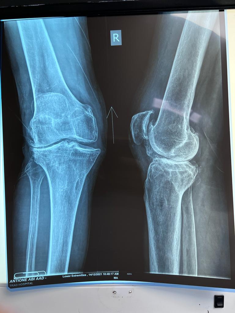
Total Knee Arthroplasty on a severe Genu Valgum

  • Home
  • /
  • Knee
  • /
  • Total Knee Arthroplasty on a severe Genu Valgum
More than 15 years of experience in
Surgery and Arthroscopy From Paris
University
Trad hospital
Tel / Fax: +961 1 374371 / +961 1 369495
Fax: +961 1 361663
Email: info@ziadnoun.com
Location: Beirut, Lebanon
P.O.Box: P.O.Box: 113-6431
Levant Hospital
Tel / Fax: +961 1 501 500
Email: info@ziadnoun.com
Location: Sin El Fil Beirut Lebanon
© 2026 Dr Ziad noun | by Activeweb Me